
Biến Đổi Nụ Cười: Hành Trình Từ Chỉnh Nha Đến Dán Sứ Veneer
Trải qua hành trình chỉnh nha và dán sứ Veneer, nụ cười của tôi đã trở nên như một tác phẩm nghệ thuật. Không chỉ

Trải qua hành trình chỉnh nha và dán sứ Veneer, nụ cười của tôi đã trở nên như một tác phẩm nghệ thuật. Không chỉ

Niềng răng không chỉ là về việc sắp xếp lại những chiếc răng, mà sẽ còn tác động thay đổi đến các cơ vùng đầu

Sau những cung bậc cảm xúc, tôi nhận ra rằng nụ cười phù hợp nhất là nụ cười thật của bản thân mình. Đó

Chào đón một nụ cười tươi sáng cho cả hai bạn với ƯU ĐÃI ĐẶC BIỆT từ phòng khám chúng tôi! 💑✨ 🌈 Gói Tẩy

Chào đón năm mới với nụ cười rạng rỡ! Đừng bỏ lỡ cơ hội biến đổi nụ cười của bạn với chương trình đặc biệt

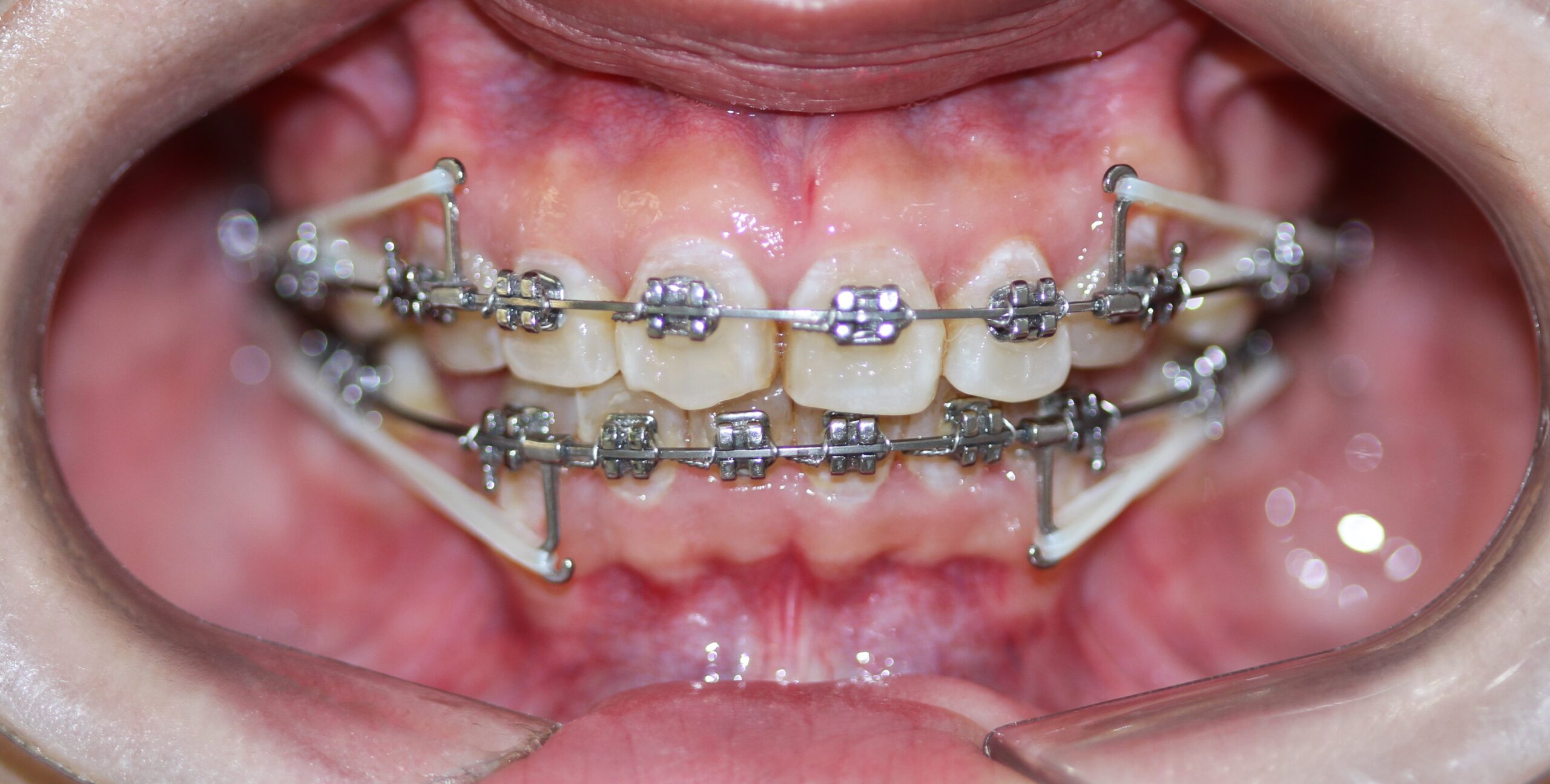
“Khám phá hành trình thay đổi nụ cười – từ bắt đầu đến kết thúc” Một chuyến đi đầy ngạc nhiên và nhiều biến đổi!

“Chúng tôi hiểu rằng quyết định niềng răng có thể đến từ nhiều nỗi lo – sự khó chịu, thời gian, chi phí. Nhưng hãy

Chắc hẳn nhiều người trong chúng ta đã từng nghe những lời đồn đại về cảm giác “kinh hoàng” khi đeo mắc cài chỉnh nha.

Răng khôn là nhóm răng cuối cùng mọc trong hàm răng của con người, thường xuất hiện vào độ tuổi từ 17 đến 25. Chúng

Ah, chun chỉnh nha nhiều màu sắc!!! Một cách tuyệt vời để thể hiện cá tính ngay trên… hàm răng của bạn! Đúng rồi, không




NHẬN ƯU ĐÃI NGAY HÔM NAY

NHẬN ƯU ĐÃI NGAY HÔM NAY