
Hoàn thiện nụ cười của bạn với mặt dán sứ Veneer
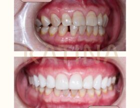
Dán sứ Veneer là gì? Dán sứ Veneer là một quy trình trong lĩnh vực nha khoa, thường được sử dụng để cải thiện ngoại hình của răng bằng cách gắn một lớp vật liệu mỏng gọi...
Dán sứ Veneer là gì? Dán sứ Veneer là một quy trình trong lĩnh vực nha khoa, thường được...